Từ điển Hán Việt
Chinese Character: 牙瘤
Pinyin: yá liú
Meanings: Tumor or cyst that appears on or around the teeth., U nang hoặc khối u xuất hiện trên răng hoặc xung quanh vùng răng., ①起源于牙并含有牙组织(如釉质、牙质、牙骨所)的一种肿瘤。
HSK Level: 6
Part of speech: danh từ
Stroke count: 19
Radicals: 牙, 留, 疒
Chinese meaning: ①起源于牙并含有牙组织(如釉质、牙质、牙骨所)的一种肿瘤。
Grammar: Danh từ chuyên ngành y tế, mô tả bệnh lý về răng miệng.
Example: 他的牙瘤需要手术切除。
Example pinyin: tā de yá liú xū yào shǒu shù qiē chú 。
Tiếng Việt: U nang răng của anh ấy cần phải phẫu thuật cắt bỏ.

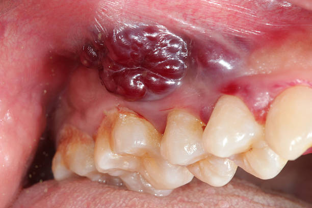
📷 Sarcoma của Kaposi bằng miệng.
Nghĩa chính
Tiếng Việt
U nang hoặc khối u xuất hiện trên răng hoặc xung quanh vùng răng.
Nghĩa phụ
English
Tumor or cyst that appears on or around the teeth.
Nghĩa tiếng trung
中文释义
起源于牙并含有牙组织(如釉质、牙质、牙骨所)的一种肿瘤
Chi tiết từ vựng
Trung tâm học tập
Quy tắc ngữ pháp & ví dụ thực tế
Phân tích chi tiết từng ký tự
Thơ nhớ bộ thủ & Mẹo ghi nhớ
2 mẹo ghi nhớThống kê tổng quát
Nhấn "Hiện thứ tự nét" để xem minh họa, hoặc "Bắt đầu tập viết" để luyện tập!
